哪里是最容易被漏诊的骨折部位? 盘点骨科四肢创伤的那些“坑”
扫一扫
分享文章到微信

扫一扫
关注鹿财经微信公众号
骨科的四肢创伤,不仅需要关注到四肢的骨折,同时要关注软组织损伤,特别是关节周围的软组织损伤。所以四肢创伤,「坑」可以说无处不在。以下是一些容易漏诊的骨折与其他损伤,希望能提醒同道,大家共同提高。
1
手舟骨骨折
手舟骨骨折的细微骨折不容易由腕关节平片察觉,需要舟骨轴位片+腕关节 CT-3D,甚至腕关节 MRI 检查,并且伤后 2 周骨折端清晰后复查影像学。

2
手部籽骨骨折
籽骨有二分籽骨、三分籽骨,需要和籽骨骨折鉴别,需要结合查体以及影像学综合进行鉴别。

手部籽骨骨折 DR
3
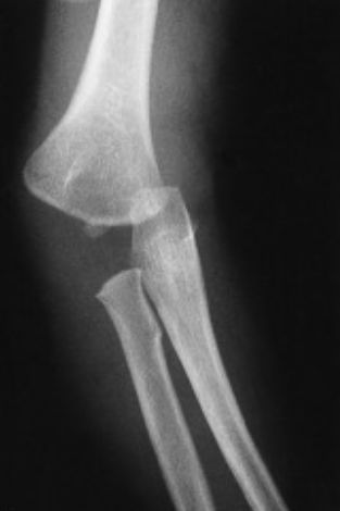
孟氏骨折
儿童孟氏骨折容易漏诊。由于儿童肘部骨骺未完全发育,肱桡关节不匹配容易漏诊,日后未及时随访发现隐匿性孟氏骨折。

孟氏骨折 Bado I 型
4
肘关节脱位
肘关节脱位可能存在自行复位,故拍片提示肘关节正常。因此,要追问病史结合查体来看是否存在肘关节不稳定可能,如有则需手术干预。

5
尺骨冠突骨折
I 型尺骨冠突骨折如果移位不明显,平片可能难以发觉,需要结合 CT 检查并进行分型,结合有无肘关节不稳定,选择保守或手术治疗。

尺骨冠突骨折 Regan-Morrey I 型
6
先天性桡骨头脱位
拍片可能提示桡骨头脱位,需要对桡骨头关节面形态进行鉴别,考虑是先天性脱位还是外伤性脱位。

先天性桡骨头脱位
7
肱骨远端骨骺滑脱
小儿肘部骨骺未发育,经验不足容易导致漏诊,伤后往往由于肿胀查体不准确,需要仔细阅片观察肱骨远端形态,必要时肘关节 MR 以及关节造影检查。

肱骨远端骨骺滑脱
8
肩关节后脱位
常规肩关节拍片,肱骨头与关节盂重叠导致难以发现后脱位的存在。要注意拍肩关节切线位、腋位片或肩关节 CT,观察肱骨近端有无灯笼征,肩关节有无明显外旋受限。

9
Bankart 损伤
患者急诊关节拍片提示未见明显骨折,需要注意关节其他损伤,Bankart 损伤可能存在肩关节不稳定,需要做肩关节 MR 检查了解有无盂唇损伤。

10
腋神经损伤
肩关节前脱位可能合并腋神经损伤,早期检查臂上外侧皮神经支配区域感觉以及三角肌收缩肌力,2 周后需要检查腋神经肌电图了解情况。

三角肌萎缩及臂上皮神经支配区麻木
11
Hill-Sachs 损伤
肩关节前脱位可能合并 Hill-Sachs 损伤,需要肩关节 CT-3D 检查了解肱骨头压缩情况,达到手术指针需要压缩部位植骨填充,否则容易肩关节不稳定。

12
肩锁关节脱位
肩锁关节脱位早期拍片可能是 Rockwood 分型 I-II 型脱位,容易漏诊,需要手持重物再次拍片了解肩锁关节脱位情况,并可以拍对照片进行鉴别,近期多次随访拍片查体以便早期发现脱位程度的改变。

肩锁关节脱位 Rockwood 分型 II 型脱位
13
胸锁关节脱位
常规锁骨拍片难以发现胸锁关节脱位,如果是前脱位查体时明显,注意查体以及锁骨 CT 水平位了解胸锁关节脱位及锁骨胸骨端骨折的存在。

胸锁关节后脱位
投稿邮箱:lukejiwang@163.com 详情访问鹿财经:http://www.lucaijing.com.cn











